Что такое реставрация зубов?

Виниры на зубы

Современная стоматологическая медицина предлагает широкий спектр процедур, которые позволяют эффективно осуществить лечение зубов, восстановить их первоначальный внешний вид и функциональность. Стоматологическая реставрация зубов — один из таких способов.

Что же такое реставрация зубов?

В перечне услуг клиник можно встретить следующие наименования реставрации:

  • художественная;
  • эстетическая;
  • косметическая.

Все названные термины несут одинаковую смысловую нагрузку.

Все это реставрация поверхности зубов, под которой понимается комплекс мероприятий, направленный на возвращение естественного и здорового внешнего вида зубов, а также восстановление их функциональной составляющей.
Восстановление сколов зубов
Восстановление сколов

Способы реставрации

Способы реставрационных процедур определяются задачами, которые стоят перед специалистом:

  • для придания нужной формы;
  • для устранения сколов и неровностей;
  • для восстановления эмали;
  • для корректировки положения зуба в ряду;
  • для придания естественного оттенка.

В зависимости от сложности и характера процедуры может применяться два типа реставрации:

  • прямое восстановление — осуществляется в результате одного визита к врачу, все манипуляции производятся непосредственно в полости рта;
  • непрямое восстановление — подготовка материалов производится вне полости рта, требуется проведение процедуры в несколько этапов.

Реставрация формы зубов осуществляется с помощью применения композитных материалов. При существенной потере зубных тканей применяются вкладки и штифты.

Реставрация поверхности зубов для получения нужного оттенка осуществляется с помощью отбеливания.

Отбеливание зубов технологией ZOOM
Отбеливание зубов технологией ZOOM

Отбеливание может быть нескольких видов:

  • с использованием специальной каппы;
  • технология AirFlow — удаление налета струей воды и воздуха, которые подаются под высоким давлением;
  • технология ZOOM — нанесение на эмаль специального геля, содержащего перекись водорода, с последующей активацией проникновения отбеливающего состава в ткань зуба за счет ультрафиолетовой лампы.

Реставрация передних и боковых зубов производится с помощью использования виниров, коронок и мостовидных конструкций.

Винирами называются специальные очень тонкие пластинки, которые наклеиваются на зубную ткань, после предварительного стачивания небольшого слоя эмали. Использование виниров позволяет придать лицевой, видимой при разговоре и улыбке, стороне зуба идеальный внешний вид и белизну.

Какие материалы для реставрации зубов применяются:

  • для восстановления формы — композитные материалы. Они обладают свойствами светоотражения. Удерживающая связь композита с эмалью и тканями зуба производится за счет применения специальных клеящих адгезивов;
  • для укрепления эмали используются компомеры, выделяющие дополнительный фтор;
  • для корректировки цвета эмали используются гелиокомпозиты. Они обеспечивают естественную цветопроницаемость и придают поверхности необходимый оттенок. Свойства поглощения, отражения и преломления света обеспечиваются за счет нанокомпозитов (многокомпонентный материал, состоящий из полимерной матричной основы и кремниево-циркониевого наполнителя);
  • при серьезной потере зубной ткани используются штифты из титана, стекловолокна, серебра.

    Реставрация молочных зубов

    В детском возрасте рост молочных зубов часто сопряжен с их искривлением, нарушением формы и цвета. Нередки случаи возникновения сколов. Все это приводит к дискомфорту, быстрому разрушению и преждевременному выпадению зубов. Также эти негативные проявления влияют на внешний вид улыбки, что на определенных возрастных этапах неминуемо сказывается на уверенности и самооценке ребенка.

    Лечение детей имеет свои особенности, поэтому в таких случаях применяются специальные технологии реставрации молочных зубов.

    Почему важно поддерживать молочные зубы детей в хорошем состоянии?

    • обеспечивается своевременное и здоровое формирование коренных зубов;
    • отсутствие негативного воздействия на речь;
    • снижение вероятности формирования неправильного прикуса;
    • комфортный и правильный прием пищи, позволяет снизить вероятность развития заболевания пищеварительной системы за счет тщательного пережевывания;
    • психологическое равновесие и отсутствие комплексов.

    Обратиться к стоматологу стоит при наличии у ребенка следующих проблем:

    • неправильный рост молочных зубов (искривление, выпячивание, вдавленность относительно положения в зубном ряду);
    • разрушение зубных тканей кариесом;
    • сколы, трещины.

    Этапы проведения реставрации зубов

    Продолжительность процедуры по восстановлению зависит от: степени сложности конкретной случая, количества зубов которые необходимо корректировать, используемых технологий и материалов.

    Процедура может проводится в один этап или включать несколько этапов с посещением специалиста несколько раз.

    Основные этапы реставрации формы зуба с существенной потерей тканей (в несколько посещений стоматологии):

    • первоначальный осмотр врачом, выявление нарушений, степени их сложности;
    • проведение диагностических мероприятий. Подготовка материалов — подбирается штифт, цвет композитного материала;
    • распломбировка (если установлена пломба) и удаление участков ткани, пораженных кариесом;
    • ампутация (частичное удаление) или экстирпация (полное удаление) нерва, при необходимости;
    • подготовка корневого канала;
    • фиксация штифта с применением специального связующего компонента;
    • воссоздание естественной формы зуба вокруг штифта с помощью композита. Для придания естественного внешнего вида применяется нанесение материалов тонкими слоями;
    • завершающий этап — шлифовка и полировка.

    В современных условиях реставрационные процедуры осуществляются с минимальными болевыми ощущениями и дискомфортом. При необходимости используется местная анестезия.

    Срок службы

    Определить точный срок, в течение которого результаты реставрации будут эффективны, невозможно. Продолжительность устанавливается индивидуально.

    Все зависит от целого комплекса факторов:

    • качество последующего ухода за полостью рта;
    • виды использованных материалов;
    • применяемые технологии;
    • квалификация специалиста;
    • особенностей организма пациента.

    Продолжительность службы композитных материалов, используемых в световых пломбах, составляет не менее 5 лет.

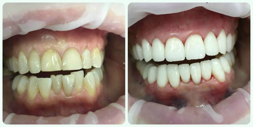
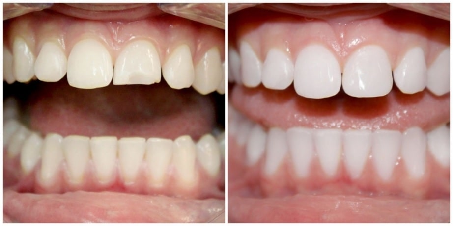
    Установка виниров: до и после
    Установка виниров: фото до и после

    Срок службы виниров зависит от материала:

    • композитные — до 5 лет;
    • фарфоровые — до 15 лет;
    • циркониевые — до 20 лет.

    Показания и противопоказания

    Стоматологическая реставрация зубов необходима в следующих случаях:

    • неправильное расположение зуба в зубном ряду (выдается вперед, вдавлен, смещен в сторону);
    • естественные или приобретенные дефекты формы, цвета и размера зубов;
    • нарушение внешнего вида, цветовые различия после стоматологического лечения;
    • пигментация, потемнение зубной эмали.

    При применении любого способа лечения в стоматологии, нужно помнить о противопоказаниях.

    В нашей ситуации в перечень противопоказаний входят следующие случаи:

    • бруксизм — непроизвольное постукивание и скрежет зубов во время сна;
    • прямой прикус в сочетании с высокой степенью стираемости зубной эмали;
    • аллергические проявления на применяемые во время лечения материалы;
    • сильное закрытие верхними резцами нижних при смыкании челюстей (аномалия прикуса);
    • невозможность обеспечения систематической профилактики и качественного ухода за полостью рта.

    Стоимость реставрации зубов в стоматологии «Медицина Вологды»

    Стоимость реставрация зубов в Вологде формируется исходя из следующих факторов:

    • ценовая политика конкретной клиники;
    • используемые материалы;
    • доступные технологии и оборудование;
    • квалификация специалистов.

    Полный спектр услуг по реставрации предлагает стоматологическая клиника «Медицина Вологды». С ценами на услуги можно ознакомиться по ссылке.

    Прайс-лист

    Обращайтесь!

    Свяжитесь с нами

    160033, г.Вологда, ул. Петрозаводская, дом 16Б (4-й подъезд)

    Остались вопросы? Мы с радостью ответим!

    Станьте на шаг ближе к мечте об идеальной улыбке — просто запишитесь на первичный осмотр! А если у вас есть вопросы о нашей клинике, мы с радостью на них ответим.

    Thank you! Your submission has been received!
    Oops! Something went wrong while submitting the form.
    Политика конфиденциальности